生体の歪みを正す咬合治療
清水 敦 自己紹介
昭和57年 3月 城西歯科大学卒 (現 明海大学歯学部).
4月 同歯科補綴学第1講座(有床義歯学)入局.
昭和59年12月 清水歯科医院顎咬合研究所 開院.
平成13年 4月より BBO研究会講師.
平成15年 6月より BBOとOrthotropicsを主体とした完全自由診療へ移行.
Facial Orthotropics研究会理事、顎咬合学会認定医.
大学卒業後,医局員時代から小嶋壽先生のスタディークラブにてナソロジーを学ぶ.
東洋医学及び整体や身体心理系の代替医療については,多くの先達に学ぶ.
矯正治療は中島榮一郎先生のMOSセミナーを受講するが,成長発育と調和させるのに悩んだ.
平成6年にJ. MewのFacial ORTHOTROPICSに出会い,その考えに基づいた顎矯正治療を始めた.
平成7年にBBOの入門コースを受講し,生体バランスと咬合との関係性に気づかされ,以来,今日までBBOとORTHOTROPICSを治療の中心に据えて,日々診療を行っている.
<彷徨い、そして此処へたどり着きて>
大学を卒業して20数年になります。総義歯の講座にも残り、最初から咬合がテーマでした。ナソロジーの勉強も長くやって、自分自身フルマウス治療を受けてもいます。でも、何か腑に落ちないものがありました。それから、自分の彷徨いが始まったのかもしれません。いろんな先生の講習会に参加し、それでも霧が晴れずに、ついに歯科を離れて心理療法や整体の勉強をしたこともあります。
思えばドブにお金を捨てるような講習会もありました。古い考えに縛られている研修会もありました。そうした中で、おぼろげに見えてきた生体との関わり。身体や心と噛み合わせがいかに繋がっているかということが自分にも判るようになってきました。そして、自分がなぜこんなに咬合にこだわるのかも。
あちこちフラフラとしながらも自分の方向性が決まってきて、95年にようやくBBOセミナーを受講したのです。まさにようやくたどり着いた感じでした。“今まで自分なりに積み重ねてきたことが間違いではなかった”と納得のいくものであったと同時に、「生体の歪みを正して健康を取り戻すように咬合の治療ができるのは歯科医だけである」と心を新たにしたのでした。
今自分の診療室では、成長期の子供さんから原因不明の病気に悩む年配の患者さんまで、いろんな方が治療に来られています。そういった患者さんに自信を持って対応できるのも、BBOを学んだおかげと感謝しています。
生体の構造や力学的バランスを学ぶことにより、慢性頭痛や若年者に増加しているというめまい,いびき症、ロングフェイス・シンドロームと歯科とは、無関係どころか歯科医でなければ治せない部分がたくさんあるんだと気づかされました。
自分の専門から考えるなら、『病気になってから慌てるのではなく、身体の歪みが酷くない骨の柔らかな子供の頃から歪みを治し姿勢や習慣を正して、歯の噛み合わせが身体とよりバランスした状態になるよう成長を誘導する』のも、歯科医の大切な役割だと思います。
<入れ歯で多発性脳梗塞!?>
98年9月、「3ヶ月前に入れた入れ歯で倒れてしまった」と電話で相談を寄せた69歳の婦人は家族に付き添われ、車で1時間かけて来院されました。
[症状と状態]
患者さん持参のメモから
@新しい義歯にしてから吐き気がする(実際に吐いた)。
A唾液を飲み込むときにつらい。
B腰痛が酷くなった。
C肩と首がこり、目が痛い。
D後頭部に圧迫感があり、頭痛が治らない。
E耳の下と顎が痛む。
F話しづらい・ろれつが回らない。
G話しが聞き取りにくいと言われた。
H頭痛のためCTスキャンとMRIで検査した結果、肩のこりと首のこりによって血流が悪くなったため、脳に十分な血液がいかないことによって起きた脳梗塞と診断された。
I不整脈がある。
J夜、寝つきが悪くなった。
K脳梗塞のため、記憶が無くなった日が2日程あった。
L就寝の時、義歯をしたままでもはずしたままでも、翌朝には決まって顎・首・肩・頭痛が起こる。
M以前使用していた義歯に戻したら、上記の症状がだいぶ無くなってきた。特に肩・首・顎・頭痛はほとんど無くなった。
[診査所見]
@右下犬歯のみ根面板で残存。
A義歯咬合平面の右上がりと前後的急傾斜。
B下顎右偏位。
C頭位の左傾斜と回旋。
D顎二腹筋の緊張++。
E腰部左回旋。
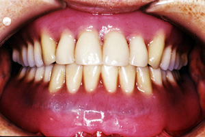
F姿勢修正補助にて下顎が左前方に出て体正中に近づく(写真1〜3)。
口腔外ではきれいに咬み合うにもかかわらず、口腔内で使えない義歯。身体を無視した治療が刃と化してしまったのでしょうか?
![]() |
![]() |
![]() |
| 写真1) | 写真2) | 写真3) |
![]() |
![]() |
![]() |
| 写真4) | 写真5) | 写真6) |
[治療]
残根を抜去し異常歯根膜反射をなくすと共に、治療義歯にて生体とのバランスをはかり、それを新義歯に仕上げることとしました。咬合平面の調整は毎回行いました。その度に、下顎位も変化し症状が変化してゆきました。また舌の運動が十分できるように口蓋部の形態にも注意を払いました。
治療義歯にして調整4ヶ月半後、頭位が落ち着き上下顎位が安定し、咬むときに力が出せるようになってきたので99年2月に新義歯を装着しました。写真4〜6は新義歯装着1ヶ月後の状態です。このころには「夜はずして寝ると顎がおかしくなることがあって、今は夜も義歯を入れている」ようになってきました。
その後、患者さんは水中エアロビクスに通うようになり、3〜5ヶ月に一度の間隔で2年ほど調整にこられました。そして、その度に脳梗塞を患ったとは思えない元気さに“生身の身体ってこんなに変わるんだ!”と驚かされたのでした。
患者さんとのつき合いは補綴物を入れてそれでお終いではなく、そこから本当の長いつき合いが始まるのだと思います。生体の変化に応じて修正を加え、患者さんがいつも健康でいられるようにお手伝いをしていくことが、これからの歯科医に求められるようになるでしょう。その為にも、身体の歪みを正しく分析評価することが重要になってきます。BBOはその分析の重要な指標を与えてくれています。

![BBO研究会 [噛み合わせに関する研究及び治療]](../images/top.gif)





