咬合採得の実際
小林八洲男
BBO研究会副会長
小林歯科医院
生体の歪みを正す咬合治療
16歳男性の患者さん
BBOセミナーを受講して約二十年になります。当時はまだ日常の臨床において、生体と咬台の関係についてはほとんど話題に上っておらず、咬台論についても、中心位は顎関節高の前壁か?中央か?後壁か?の論争に明け暮れていた時代でした。
BBOの山田先生は「生物現象の多くは重力の制約を受けているため、下顎体は常に地球上の引力に影響を受けている状態にあり、また車力の方向が頭位と大きく関係してくるので口腔の諸問題は頭の位置、姿勢、下顎との密接で直接的な関係を考慮せずには効果的な治療をすることができない」といった内容の講演で、その時はよく理解することができませんでした。受講後、再度医局時代に買った本を読みなおすと、ポッセルトやドーソン、ケルバーなど、いわゆる歯科のバイブルといわれた者の名著には前記の事柄が書かれていて、つくづく勉強の難しさを実感しました。
我々は大学で、顎運動は下顎頭が中心であり、すべてそこから派生した咬合理論を学んできました。そのため咬合理論は難解なものになってしまい、なかなか生体と結びつかないのが実情です。
口腔生理学の分野では、咬合、咀嚼時には、第二頸椎歯突起が力学的な中心として極めて重要な役割を果たしていることがすでに動物実験で認められています。つまり咬合の変化(咬合平面の変化)は頭位の変化として現れ、その変化は骨盤内の仙骨が拮抗することで対応しています。その結果、頭位=上顎の咬台平面の歪みを取り除くことで咬合と腰痛の関係が繋がりました。
また、頭蓋骨に歪みや動きの異常が出ると、何らかの症状が現れます。物理の基本的な法則で特に「構造的歪みは機能の低下を及ぼす」という法則はもちろん、頭蓋骨にとっても例外ではありません。咬合力を利用して頭蓋骨(特に蝶形後頭底結合)の歪み、頸椎の歪み等を正すことにより脳神経の圧迫、血流の異常、脳脊髄液の流動異常、硬膜の緊張等の改善がはかられることを知り咬合による頭蓋骨の歪みが全身疾患と密接に関係していることを理解しました。そしてこの歪みをとるための手段が種々なスプリントであったわけです。
次に症例を交えながら歯科医師の一番大事な咬台採得について述べたいと思います。
(症例)患者様、93年7月初診 当時16歳男性
(主訴)左側顎関節症、頭痛、右側腰痛、右足後部の疼痛
(診査診断、治療方針) BBO診断の結果
1)頭位が右にスライドし左へ傾斜している。
2)上顎歯列の左右差そのものに問題がある。
3)顎関節負担の前歯型になっている。
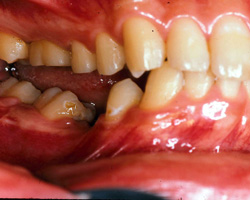
![]() |
![]() |
| 写真−術前 | |
初めに上顎の歯列を上顎基準まで削台します。これは下顎骨は好ましい機能を有する上骨に沿って移動していくものでBBOで は、上顎の平面(咬合平菌可の見直しは調整時には毎回必要な操作であります。写真1) 2)は上顎のシーネと下顎BBOのスプリントです。頭部を、脳頭蓋、顔血眼蓋、下顎体と三つに大別して各々の正中や位置を確認すると左右差があり、位置偏 位が判断できます。このことは、頭蓋骨(特に側頭骨や蝶形骨)下顎体や頚椎にさえ歪みがあることを示しているのです。そこでこれらの歪みをとることが先決 であり、そうすることによって少なくとも現状より良好な結果を生むことになるのです。その時のワックスバイトは噛み切らないバイトを採得することが大切で す。もしバイトを噛み切ってしまうと特定の歯の歯根膜センサーが動き顎運動を制限してしまうため上下顎の歯牙が一次接触をした部位を支点として下顎骨が回 転偏位をおこしてしまいます。
![]() |
![]() |
| 写真1)上顎のシーネ | 写真2)BBOのスプリント |
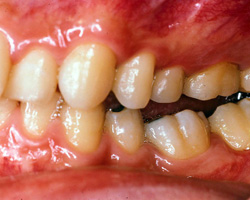
今回、この患者様のスプリント調整は、装着時から三回までは一週間ごと、四回から七回までは三週間ことのを三カ月かけて調整。その後、スプリントを再製作し装着、以降三カ月に一度の調整を二年間線り返しました。写真3) 4) 5) 6)はその時の状態です。臼歯部が大きく離閉じているのがおわかりかと思いますが、この隙間が頭蓋骨の歪み、頚椎の歪みが咬合面上に現れた状態で、決して歯牙が歯槽骨内に埋入したわけではありません。
![]() |
![]() |
| 写真3)2年後の状態 | 写真4)スプリントをはずした時の状態(右側) |
![]() |
![]() |
| 写真5)2年後の状態(左側) | 写真6)スプリントをはずした時の状態(左側) |
写真7) 8) 9) 10)は街前の姿勢と術後の姿勢です。頭位姿勢を意識したときに下顎の安静位から対咬する歯が接触するまでの時間は短いわけですが、しかしながら、どのような状態で歯牙が接触を行うか?また終了するか? このことが生体に大きく影響を与えるのです。
(患者様のメモ)顎関節蒲、肩こり、頭痛、腰痛、右足後部の摘みがなくなり集中力がついた。風邪もひかなくなり、ひいても高熱がでなくなった。
![]() |
![]() |
| 写真7)術前 | 写真9)術後 |
![]() |
![]() |
| 写真8)術前 | 写真10)術後 |

![BBO研究会 [噛み合わせに関する研究及び治療]](../images/top.gif)









